Home - Signs & Symptoms - Symptoms And Diagnosis Of A Pulmonary Embolism
...

Symptoms and Diagnosis of a Pulmonary Embolism

A pulmonary embolism can have many symptoms that are associated with other medical conditions like heart disease. However, if you do identify any of these symptoms in yourself or others, contact your nearest medical emergency services as it can be a life-threatening situation.

What is a Pulmonary Embolism?
A pulmonary embolism is a block in blood vessels associated with your lungs. These blockages can restrict blood supply to the lungs and deplete oxygen levels in the body because the lungs are affected. It can also lead to other complications. Mostly, pulmonary embolism is caused by blood clots, and a major cause of these blood clots is deep vein thrombosis (DVT).

Symptoms and Diagnosis of a Pulmonary Embolism

Deep Vein Thrombosis
DVT is a condition in which a blood clot develops in a vein that is deep in your body and not near the surface. These blood clots commonly begin at the calf muscles or thighs. However, these deep-vein blood clots can also begin somewhere else in the body. Wherever they begin, they can travel through the bloodstream and reach vital organs in your body, like your lungs. When the block occurs in a blood vessel that is connected to the lungs, it is a pulmonary embolism.

Some of the most common causes of DVT are as follows:

  • A leg fracture that damages a blood vessel which leads to blood clotting
  • Obesity which can exert pressure on your legs
  • A catheter inserted into a vein
  • Hereditary – Other members of your family, previous generations, have had DVT
  • Smoking
  • Hormone medications
  • Hormone fluctuations like pregnancy
  • Being seated for a long time
  • Some medical conditions like cancer, heart disease, and irritable bowel syndrome
  • Surgery can also result in blood clots

Pulmonary Embolism Symptoms and Diagnostic Tests
A pulmonary embolism is caused by a blockage in the arteries that supply blood to your lungs. Mostly, these blockages are caused by DVT blood clots that travel up from your legs. Identifying the symptom and taking treatment immediately reduces the risks to life associated with a pulmonary embolism.

Symptoms of a Pulmonary Embolism
The symptoms of a pulmonary embolism can also be associated with those of other diseases. The symptoms and their intensity can also vary depending on how near the lung the blockage is, how big the embolism, etc.  Here are a few common examples.

  • Shortness of breath that is worsened by any exertion. This symptom can occur suddenly with no immediately identifiable cause
  • Worsening chest pain after coughing, bending, or when you try to take a deep breath
  • A cough that may have blood in it
  • Back pain
  • Heavy sweating
  • Clammy skin
  • Blueish lips
  • Dizziness or fainting
  • Fever
  • Rapid heartbeat

These symptoms are severe and need immediate attention.

Other Pulmonary Embolism Symptoms

  • Leg pain or cramps
  • Swollen legs or arms
  • Painful legs that are tender to the touch
  • Discolored skin on your legs or arms
  • The veins on your arms or legs appear larger than usual and stand out

These are symptoms of DVT that can lead to a pulmonary embolism. Consult your doctor at once. Getting treatment for DVT can help prevent pulmonary embolism.

How is a Pulmonary Embolism Diagnosed?
After examining you and giving any emergency treatments required, the doctor will go into your medical history and check if you have any other serious medical condition that should be considered in diagnosis. Then, certain diagnostic tests might be done, which are as follows:

  • Physical Examination
    The doctor will check if your leg is swollen, discolored, very sensitive to touch, and if the swollen area is warm. These are indications there may be a deep vein blood clot in your leg.
  • Electrocardiogram
    It can reveal your cardiac health by tracking your heart’s electrical activity over a period of time
  • Echocardiogram
    It   is an ultrasound test for the heart.
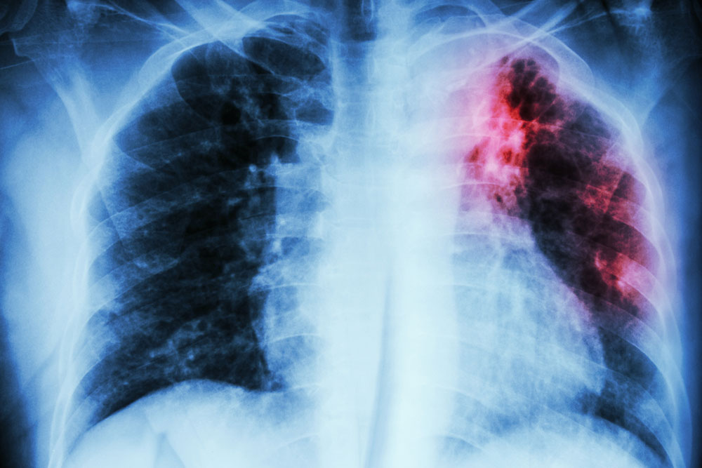
  • Chest X-ray
    This non-invasive technique provides a clear and detailed picture of your heart and lungs which the doctor can examine to detect any problem.
  • Computerized Tomographic Angiography
    This CT test is done after injecting a dye into your veins, to get a clear view of the blood vessels in your lungs.
  • Pulmonary Angiography
    After making a tiny incision, a special tube is inserted into your blood vessel which is then guided to your lungs. A dye is introduced into this tube which then clearly highlights the blood vessels in your lungs through an imaging machine.
  • D-Dimer Blood Test
    This special blood test is done to detect a small protein fragment that is left behind in the bloodstream when a clot breaks down.

Other tests that may be done include MRI, V/Q scan, etc.

If a pulmonary embolism is confirmed, treatment starts immediately. If the clot is minor, you may be prescribed medications like an anticoagulant or blood thinner to prevent formation of new clots. You may also be prescribed clot dissolvers which help in the breakdown of any existing clots.

If the clot is large or it is in a dangerous area, surgery may be required to quickly prevent life-threatening situations.

A pulmonary embolism is a blockage in your pulmonary arteries. These blocks are typically caused by blood clots. Learning about the different pulmonary embolism symptoms helps you identify them and quickly seek medical help to prevent critical situations.

Disclaimer:
The content provided on our blog site traverses numerous categories, offering readers valuable and practical information. Readers can use the editorial team’s research and data to gain more insights into their topics of interest. However, they are requested not to treat the articles as conclusive. The website team cannot be held responsible for differences in data or inaccuracies found across other platforms. Please also note that the site might also miss out on various schemes and offers available that the readers may find more beneficial than the ones we cover.
Prev
Symptoms and Treatment of Chronic Migraine

Symptoms and Treatment of Chronic Migraine

Read More
Next
Tenosynovial giant cell tumor – Types, causes, and symptoms

Tenosynovial giant cell tumor – Types, causes, and symptoms

Read More